Apa itu Supracondylar Humerus
Fraktur Supracondylar Humerus adalah patah tulang yang terjadi di siku, pada tulang humerus bagian distal. Patah tulang ini paling sering terjadi pada anak-anak, terutama pada kelompok umur 5-7 tahun. Kejadian ini terjadi sekitar 55%-75% dari semua kasus patah tulang siku pada anak-anak. Patah tulang lebih sering terjadi pada tangan kiri atau tangan yang non dominan. Beberapa penelitian terakhir juga menunjukkan bahwa baik pria dan wanita mempunyai angka kejadian yang sama pada kasus patah tulang siku ini.

Fraktur Supracondylar dikelompokan menjadi dua tipe jenis fraktur menggunakan sistem Gartland. Sistem Gartland dikembangkan oleh Dr. J.J Gartland pada tahun 1959, berdasarkan mekanisme cedera:
- Jenis yang pertama adalah tipe ekstensi, dimana posisi sendi siku terbuka saat anda mengalami cedera, sehingga menyebabkan peregangan sendi yang berlebihan. Patah tulang jenis ini mencakup 95% dari keseluruhan fraktur supracondylar.
- Jenis yang kedua adalah tipe fleksi, dimana posisi sendi siku melipat saat anda mengalami cedera. Jenis patah tulang seperti ini jarang terjadi.
Apa Saja Penyebab Supracondylar Humerus Fractur?
- Jatuh dengan tangan terlentang, terurama dari posisi berdiri
- Jatuh dengan posisi langsung mengenai siku
- Cedera memutar pada lengan
Apa Saja Gejala Supracondylar Humerus Fractur?
- Sakit pada bagian siku
- Bengkak pada siku dan tangan
- Siku dan lengan terlihat berbeda dari bentuk biasanya
- Siku tidak bisa digerakkan karena nyeri
- Mati rasa pada jari atau tangan
- Jari atau tangan pada lengan yang cedera terasa dingin atau membiru
- Gerakan terbatas pada siku
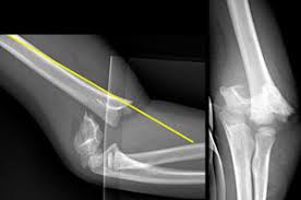
Diagnosa pada Supraconylar Humerus Fractur
Dokter atau penyedia layanan kesehatan akan menanyakan bagimana cedera tersebut terjadi dan akan melakukan pemeriksaan lengkap untuk menilai nyeri, bengkak, dan sirkulasi atau aliran darah pada sisi yang mengalami cedera. Foto rontgen akan dilakukan untuk melihat apakah tulang mengalami pergeseran.

Pengobatan Supracondylar Humerus Fractur
Pengobatan pada fraktur ini sangat penting menentukan pemulihan dan kembalinya fungsi sendi pada pasien. Seringkali keluarga pasien menggunakan hak berobatnya kepada pengobatan non medis seperti dukun patah tulang. Meskipun pilihan tempat berobat menjadi hak penuh pasien dan keluarga pasien, penanganan fraktur yang tidak tepat seperti penangan non medis, dapat beresiko tinggi kepada kekakuan sendi permanen, kelainan bentuk tulang karena penyambungan tulang yang tidak sejajar, maupun resiko-resiko lain akibat perawatan non medis seperti infeksi dan sebagainya. Sehingga penanganan non medis sangat tidak direkomendasikan pada kasus fraktur.
Pemulihan pada Supracondylar Humerus Fractur
Perawatan dokter spesialis ortophedi akan tergantung pada tingkat keparahan dan lokasi patah tulang siku. Patahan tulang yang tidak pada tempatnya atau tidak sejajar kemungkinan besar memerlukan pembedah. Dislokasi, dimana posisi sendi siku, atau permukaan tulang rawan bergeser, perlu dikembalikan ke tempatnya. Patah tulang yang berjejer dan tidak mungkin bergeser dapat ditangani dengan gips, belat, atau gendongan.
Fraktur supracondylar humerus sering kali dapat pulih dalam waktu 4 minggu sejak dimulainya pengobatan, baik non pembedahan ataupun pembedahan. Setelah gips dilepas, mungkin diperlukan waktu 4 minggu sampai mereka dapat menggerakkan sikunya secara normal. Pasien akan mendapatkan selempang atau armsling panjang yang bisa dilepas. Selempang atau armsling perlu dilepas beberapa kali setiap hari untuk melakukan latihan rentang gerak siku. Anda akan mendapatkan latihan ini saat gips dilepas. Dokter akan memutuskan kapan kekuatan dan gerak sikunya normal dan kapan dapat kembali beraktivitas dengan aman. Ini biasanya sekitar 8 minggu setelah cedera.
Semoga informasi mengenai Supracondylar Humerus Fractur ini membantu untuk lebih waspada dalam melakukan kegiatan sehari-hari
Jika ada pertanyaan, silahkan hubungi dokter kami di jam praktek. Terima kasih.
